Implante Osseointegrado
Antes
Nesse caso, observamos uma perda estética total dos dentes, linhas de estética oral alteradas, além de próteses mal adaptadas.
Depois
Fizemos uma prótese dento-gengival e implantes osseointegrados, gerando a correção estética e funcional do paciente.
Reabilitação de Bruxismo
Antes
Aqui vemos a perda de dimensão vertical, dentes desgastados pelo bruxismo, além da falta de dentes, causando perda de estética e função.
Depois
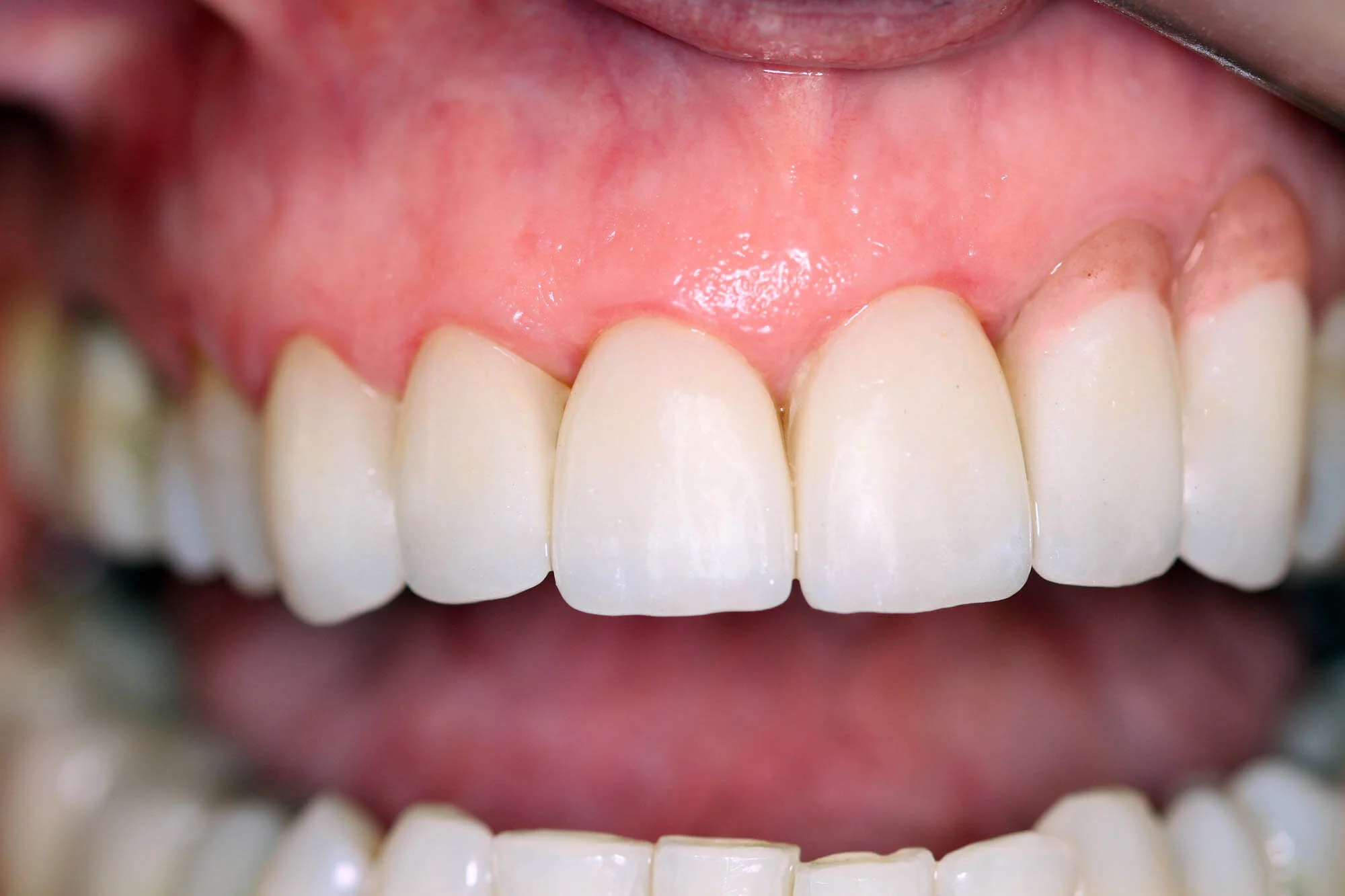
Focamos no restabelecimento da dimensão vertical com implantes osseointegrados e coroas de jaqueta. Um ponto a se destacar seria a naturalidade estética dos dentes, já que são feitos com porcelana pura Emax e estratificação.
Faceta de Porcelana
Antes
Esse paciente apresentava restaurações antigas e com várias falhas.
Depois
Para solucionar esses problemas, realizamos a reabilitação estética e funcional através de facetas em porcelana pura.
Lentes de Contato & Clareamento
Antes
Inicialmente, esse sorriso apresentava dentes escurecidos e sem estética.
Depois
Realizamos a reabilitação estética com lentes de contato dos dentes superiores e clareamento dos inferiores. Vale destacar a naturalidade da arcada superior em comparação à inferior.
Implante Carga Imediata
Antes
Nesse caso, observamos a fratura radicular e consequente perda da estética anterior.
Depois
Então foram realizados: implante osseointegrado imediato, coroas de jaqueta e lentes de contato.
Coroas de Jaqueta
Antes
Nesse caso, observamos uma alteração da estética dos dentes anteriores.
Depois
A fim de corrigir a estética, trabalhamos com coroas de jaqueta e lentes de contato.
Reabilitação Estética
Antes
Esse paciente apresentava falha estética dos dentes anteriores, além de coroas de jaqueta antigas.
Depois
Reabilitamos a estética dental anterior através de coroas de jaqueta novas.
Enxerto Ósseo & Implantes
Antes
Já neste caso, observamos a ausência de alguns dentes, cores alternadas em outros, próteses mal adaptadas, além de colapso oclusal com disfunção mio-facial.
Depois
A fim de corrigir todos os problemas, realizamos a reabilitação total estética e funcional, correção da dimensão vertical com implantes osseointegrados e coroas de jaqueta. Além disso, fizemos um enxerto ósseo com plasma rico em fibrina PRF.
Enxerto de Plasma Rico em Fibrina
Antes
Vemos aqui um caso de falta de dentes e próteses mal adaptadas, causando a perda significante da estética dental.
Depois
Focamos na execução de implantes com enxerto ósseo, plasma rico em fibrina PRF, próteses fixas em cerâmica pura, laminados cerâmicos e coroas de jaqueta em porcelana pura Emax. Assim, atingindo a reabilitação total tanto da arcada superior quanto inferior.
Prótese Dento-Gengival
Antes
Esse caso apresentava dentes desgastados (devido à abrasão), assim como uma linha gengival alterada.
Depois
Realizamos coroas de jaqueta dento-gengivais e lentes de contato dentais.
Implante Osseointegrado & Coroa de Jaqueta
Antes
Esse paciente tinha próteses adesivas anteriores com transparência metálica.
Depois
A fim de corrigir o problema, fizemos um implante osseointegrado no dente ausente e coroas de jaqueta anteriores.

